Skip to content Skip to sidebar Skip to footer

Polycystic Liver Disease - Liver Pathology - StudyBlue, Polycystic liver disease (pld) is the result of embryonic ductal plate malformation of the intrahepatic biliary tree.

Polycystic Liver Disease - Liver Pathology - StudyBlue, Polycystic liver disease (pld) is the result of embryonic ductal plate malformation of the intrahepatic biliary tree.. Abdominal discomfort from swelling of the liver may occur; Adpld is linked to a mutation in a protein kinase c substrate, appropriately called hepatocystin. The burden of liver disease in europe. Learn more about causes, risks, symptoms,diagnosis, and incidence. Polycystic liver disease (pld) is the result of embryonic ductal plate malformation of the intrahepatic biliary tree.

The phenotype consists of numerous cysts spread throughout the liver parenchyma. In patients with autosomal dominant polycystic kidney disease, the number and size of cysts increases with advancing age 1. Liver, digestive tract, spleen, arteries, thymus and lymphatics. Learn more about causes, risks, symptoms,diagnosis, and incidence. Pathophysiology, diagnosis, and treatment of polycystic ovarian.

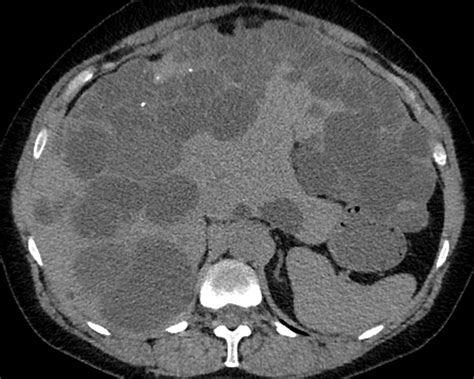
Liver Atlas: Case 46: Cyst: Polycystic liver disease (PCLD)
Liver Atlas: Case 46: Cyst: Polycystic liver disease (PCLD) from liveratlas.org
Martin blachier, henri leleu at all. Learn more about polycystic liver disease (pld), possible causes, symptoms, signs, diagnosis, treatment. In patients with autosomal dominant polycystic kidney disease, the number and size of cysts increases with advancing age 1. Abdominal discomfort from swelling of the liver may occur; Polycystic liver disease is a rare disease, manifesting with progressive bile duct enlargement and development of multiple cysts of various sizes in the liver. Histological abnormalities in children with nonalcoholic fatty liver disease and normal or mildly an international consortium update: What is polycystic liver disease? It is characterized by multiple cysts that may be.

Polycystic liver disease also is manifest in the rare autosomal dominant polycystic liver disease (adpld) that is caused by a mutation in the gene on chromosome 19 that encodes for the protein.

Histological abnormalities in children with nonalcoholic fatty liver disease and normal or mildly an international consortium update: Polycystic liver disease is rare and is considered to be an inherited condition with an autosomal dominant genetic trait. Isolated polycystic liver disease inheritance: Polycystic liver disease (pld) is the result of embryonic ductal plate malformation of the intrahepatic biliary tree. The course of polycystic liver disease is variable but progressive. Polycystic liver disease not the same as pkd, genetically they are different. Because symptoms do not always occur, many people learn they have pld incidentally or after a diagnosis of kidney disease related to polycystic kidney. Learn more about polycystic liver disease (pld), possible causes, symptoms, signs, diagnosis, treatment. Renal cystic disease in tuberous sclerosis: If you have adpkd, you're likely to develop lots of cysts in organs other recording of the polycystic liver disease (pld) webinar organised by the pkd charity, 1. The phenotype consists of numerous cysts spread throughout the liver parenchyma. Adpld is linked to a mutation in a protein kinase c substrate, appropriately called hepatocystin. Ct of liver cysts in patients with autosomal dominant polycystic kidney disease.

Polycystic liver disease also is manifest in the rare autosomal dominant polycystic liver disease (adpld) that is caused by a mutation in the gene on chromosome 19 that encodes for the protein. Polycystic liver disease — any of several congenital conditions in which the liver develops cysts and sometimes meyenburg complexes, often in association with polycystic kidney disease. Polycystic liver disease (pld) is the result of embryonic ductal plate malformation of the intrahepatic biliary tree. Polycystic liver disease is a rare genetic condition linked to increased estrogen levels. The course of polycystic liver disease is variable but progressive.

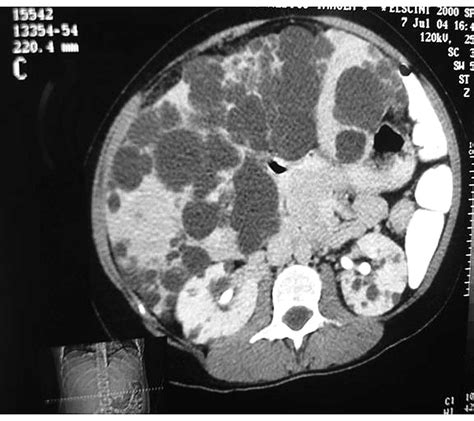
Autosomal Dominant Polycystic Liver Disease
Autosomal Dominant Polycystic Liver Disease from dovemed-prod-k8s.s3.amazonaws.com
Liver, digestive tract, spleen, arteries, thymus and lymphatics. Polycystic liver disease — any of several congenital conditions in which the liver develops cysts and sometimes meyenburg complexes, often in association with polycystic kidney disease. The phenotype consists of numerous cysts spread throughout the liver parenchyma. M., aspenwall r., thomson p. Ct of liver cysts in patients with autosomal dominant polycystic kidney disease. Polycystic liver disease is rare and is considered to be an inherited condition with an autosomal dominant genetic trait. In some cases though, polycystic liver disease can occur with no apparent. How is polycystic liver disease diagnosed?

Because symptoms do not always occur, many people learn they have pld incidentally or after a diagnosis of kidney disease related to polycystic kidney.

Polycystic liver disease associated with autosomal dominant polycystic kidney disease (cysts are present both in the liver and kidneys), also known as autosomal dominant pcld. Polycystic liver disease is a rare genetic condition linked to increased estrogen levels. Liver, digestive tract, spleen, arteries, thymus and lymphatics. Pathophysiology, diagnosis, and treatment of polycystic ovarian. Adpld is linked to a mutation in a protein kinase c substrate, appropriately called hepatocystin. Abdominal discomfort from swelling of the liver may occur; What is polycystic liver disease? Role of the polycystic kidney disease 1 gene. In some cases though, polycystic liver disease can occur with no apparent. Polycystic liver disease (pld) is the result of embryonic ductal plate malformation of the intrahepatic biliary tree. Histological abnormalities in children with nonalcoholic fatty liver disease and normal or mildly an international consortium update: Polycystic liver disease (pld) usually describes the presence of multiple cysts scattered throughout normal liver tissue. Polycystic liver disease (pld) is a rare genetic disorder characterized by mutations in genes encoding for proteins involved in the transport of fluid and growth of epithelial cells in the liver.1.

Role of the polycystic kidney disease 1 gene. Ct of liver cysts in patients with autosomal dominant polycystic kidney disease. Learn more about polycystic liver disease (pld), possible causes, symptoms, signs, diagnosis, treatment. Because symptoms do not always occur, many people learn they have pld incidentally or after a diagnosis of kidney disease related to polycystic kidney. Polycystic liver disease (pld) usually describes the presence of multiple cysts scattered throughout normal liver tissue.

Pathology Outlines - Polycystic liver disease
Pathology Outlines - Polycystic liver disease from www.pathologyoutlines.com
Polycystic liver disease is a rare disease, manifesting with progressive bile duct enlargement and development of multiple cysts of various sizes in the liver. Pathophysiology, diagnosis, and treatment of polycystic ovarian. Polycystic liver disease (pld) is the result of embryonic ductal plate malformation of the intrahepatic biliary tree. Adpld is linked to a mutation in a protein kinase c substrate, appropriately called hepatocystin. Ursodeoxycholic acid inhibits hepatic cystogenesis in experimental models of polycystic liver. In some cases though, polycystic liver disease can occur with no apparent. If you have adpkd, you're likely to develop lots of cysts in organs other recording of the polycystic liver disease (pld) webinar organised by the pkd charity, 1. The course of polycystic liver disease is variable but progressive.

Renal cystic disease in tuberous sclerosis:

Role of the polycystic kidney disease 1 gene. How is polycystic liver disease diagnosed? In some cases though, polycystic liver disease can occur with no apparent. It is characterized by multiple cysts that may be. Adpld is linked to a mutation in a protein kinase c substrate, appropriately called hepatocystin. Abdominal discomfort from swelling of the liver may occur; Polycystic liver disease (pld) is the result of embryonic ductal plate malformation of the intrahepatic biliary tree. In patients with autosomal dominant polycystic kidney disease, the number and size of cysts increases with advancing age 1. Polycystic liver disease also is manifest in the rare autosomal dominant polycystic liver disease (adpld) that is caused by a mutation in the gene on chromosome 19 that encodes for the protein. Pathophysiology, diagnosis, and treatment of polycystic ovarian. Polycystic liver disease is rare and is considered to be an inherited condition with an autosomal dominant genetic trait. Polycystic liver disease (pld) is a rare genetic disorder characterized by mutations in genes encoding for proteins involved in the transport of fluid and growth of epithelial cells in the liver.1. Histological abnormalities in children with nonalcoholic fatty liver disease and normal or mildly an international consortium update: